清华大学董家鸿院士领衔!首次系统揭示胰腺导管腺癌神经浸润的关键机制,锁定关键药物靶点
| 导读 | 这一发现为改善胰腺癌这一“癌王”的预后带来了新的希望。 |
近日,清华大学董家鸿院士&福建医科大学郜峰/翁山耕/刘奇才团队在国际知名期刊《Signal Transduction and Targeted Therapy》发表一项关于胰腺导管腺癌(PDAC)神经浸润机制的重要研究。该研究首次系统阐明了肿瘤细胞如何“策反”神经周围的雪旺细胞,为其沿神经侵袭铺路的全新分子机制,并锁定了关键药物靶点。这一发现为改善胰腺癌这一“癌王”的预后带来了新的希望。

雪旺细胞在神经浸润阳性区域富集
临床困境:神经浸润——胰腺癌的致命“高速公路”

胰腺癌细胞促进雪旺细胞去分化
胰腺导管腺癌(PDAC)是恶性程度最高的实体肿瘤之一,患者五年生存率不足10%。其致命特性之一,便是高达70-100%的患者会出现“神经浸润”(PNI),即癌细胞沿着神经束扩散。神经浸润不仅是肿瘤局部复发和转移的“快车道”,更是导致患者剧烈疼痛和预后极差的核心因素。然而,长期以来,临床对神经浸润缺乏有效的预测方法和干预靶点,其起始机制一直是个谜。
核心发现:癌细胞“策反”雪旺细胞,共建侵袭桥梁

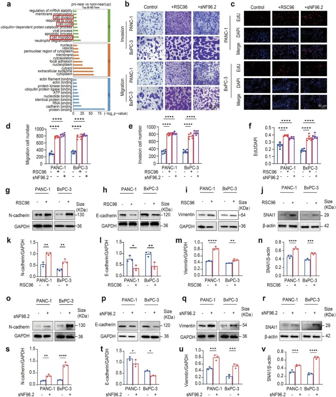
雪旺细胞诱导胰腺癌细胞恶性进展
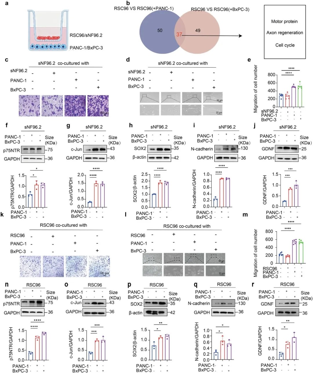
研究通过整合临床样本的RNA测序、空间转录组学和单细胞分析,首次在神经浸润区域观察到一个显著现象:一类处于“去分化”状态的雪旺细胞(SCs)特异性富集。雪旺细胞是外周神经的主要胶质细胞,正常情况下负责营养和支持神经元。但在胰腺癌微环境中,它们被癌细胞重新编程,回到了类似神经损伤后的修复状态。
这就好比肿瘤细胞策反了神经的“守卫”雪旺细胞,让它们调转枪口,为肿瘤入侵神经“铺路搭桥”。这些去分化的雪旺细胞高表达p75NTR、SOX2、c-Jun等标志物,形态变为细长、具侵袭性,并展现出强大的迁移能力。
机制揭秘:PGE2是关键“信号兵”,驱动雪旺细胞叛变

共培养体系中PTGES/PGE2的升高与神经浸润相关
那么,肿瘤细胞发出的策反指令是什么?通过多组学数据交叉分析,研究团队将目光锁定在前列腺素E合成酶(PTGES)及其产物——前列腺素E2(PGE2)上。他们发现,在神经浸润区域的核心,肿瘤细胞高表达PTGES,其表达水平与患者PNI状态正相关。
随后的系列实验证实,胰腺癌细胞正是通过分泌PGE2,驱动了雪旺细胞的去分化。在共培养体系中,肿瘤细胞分泌的PGE2能诱导雪旺细胞形态改变,并显著上调其去分化标志物表达。当使用PTGES抑制剂、基因敲低或基因敲除手段阻断癌细胞产生PGE2后,雪旺细胞向肿瘤的定向迁移和神经突触生长能力被显著削弱。
被激活的雪旺细胞如何具体执行“铺路”任务?研究发现,在PGE2刺激下,去分化的雪旺细胞会大量分泌两种关键因子:
-
白血病抑制因子(LIF):一种多效性细胞因子,可促进神经重塑和神经元存活,为肿瘤细胞营造“亲神经”的微环境。
-
金属蛋白酶ADAMTS-1:能够降解神经周围的细胞外基质,物理上破坏神经束的屏障,为癌细胞浸润扫清障碍。
在三维共培养和动物模型中,使用LIF中和抗体或PTGES抑制剂,都能有效抑制肿瘤细胞的神经侵袭,并减轻模型动物的神经功能障碍和髓鞘损伤。

胰腺癌来源的PGE2诱导雪旺细胞活化

PGE2促进雪旺细胞分泌LIF和ADAMTS-1以驱动神经浸润发展
研究意义与未来展望
该研究革新了人们对神经侵润起始机制的认识:并非癌细胞先攻击神经,而是它们先“教化”了雪旺细胞,由后者主动创造利于侵袭的条件。这为我们干预胰腺癌神经浸润提供了两个极具潜力的新靶点:PTGES/PGE2轴和LIF。相较于传统靶向COX-2的药物可能带来的心血管和胃肠道副作用,直接靶向下游的PTGES可能更具安全性。同时,LIF本身也可作为治疗靶点或预测神经浸润的生物标志物。
原文链接:
https://www.nature.com/articles/s41392-026-02648-x(转化医学网360zhyx.com)
【关于投稿】
转化医学网(360zhyx.com)是转化医学核心门户,旨在推动基础研究、临床诊疗和产业的发展,核心内容涵盖组学、检验、免疫、肿瘤、心血管、糖尿病等。如您有最新的研究内容发表,欢迎联系我们进行免费报道(公众号菜单栏-在线客服联系),我们的理念:内容创造价值,转化铸就未来!
转化医学网(360zhyx.com)发布的文章旨在介绍前沿医学研究进展,不能作为治疗方案使用;如需获得健康指导,请至正规医院就诊。
责任声明:本稿件如有错误之处,敬请联系转化医学网客服进行修改事宜!
微信号:zhuanhuayixue
腾讯登录
还没有人评论,赶快抢个沙发