突破性研究!闪波/黄进宇/吴颖/邵孟乐团队破译血管修复对话机制,发现干预血管再狭窄新靶点
| 导读 | 这为预防心脏支架植入术后再狭窄等血管疾病,提供了全新的潜在治疗策略。 |
血管受损后,身体如何启动修复程序?如果修复“过当”,导致血管壁异常增厚、管腔狭窄,又会引发何种疾病?3月7日,浙江大学闪波、西湖大学医学院附属杭州市第一人民医院黄进宇、浙江省立同德医院吴颖、中国科学院上海免疫与感染研究所邵孟乐团队在国际知名期刊《Nature Communications》发表一项突破性研究:首次清晰描绘了血管损伤后,驱动血管壁异常增生的关键细胞对话图谱。研究发现,血管外膜的间充质基质细胞会“指令”一类特殊的ST2阳性修复型巨噬细胞,通过一个名为“IL-33-ST2-骨桥蛋白(OPN)”的信号轴,共同推动血管平滑肌细胞增殖,导致新内膜增生。干预该信号轴,能有效缓解小鼠血管损伤模型中的病理性增生。这为预防心脏支架植入术后再狭窄等血管疾病,提供了全新的潜在治疗策略。
研究背景:过度修复的临床困境
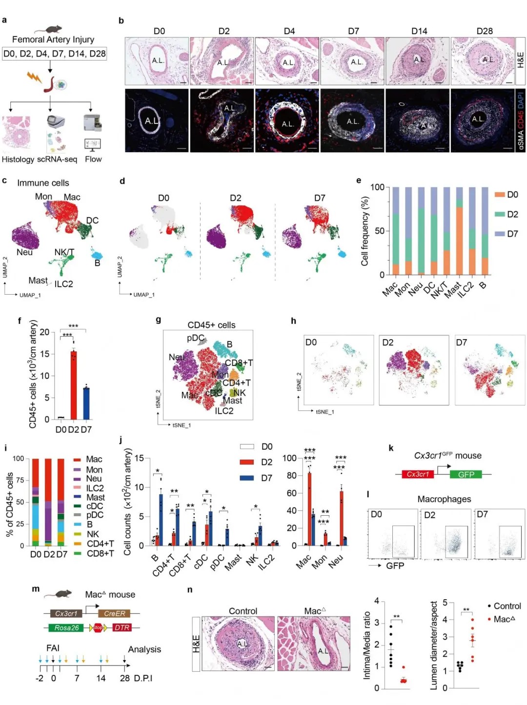
CX3CR1+ 动脉巨噬细胞的募集对于血管内损伤诱导的新内膜增生至关重要
冠状动脉疾病是全球首要死因,经皮冠状动脉介入治疗(俗称“放支架”)是常用疗法。然而,约16-20%的患者在术后会出现支架内再狭窄,其核心病理过程是血管内损伤引发血管平滑肌细胞过度增殖和迁移,导致血管壁增厚、管腔再度变窄。尽管血管平滑肌细胞是新内膜病变的主要细胞成分,但血管外膜中的各种细胞(如间充质基质细胞和巨噬细胞)及其相互作用,对于损伤后的血管修复与重塑至关重要。然而,驱动这一过程的细胞间通讯机制此前并不明晰。
核心发现:破译细胞间的“指令”链条
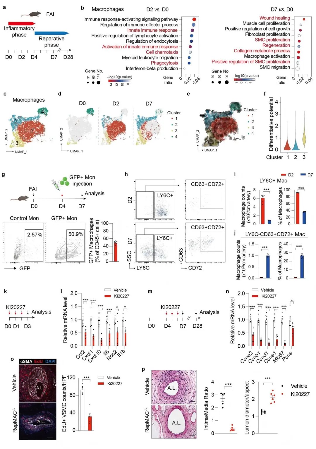
动脉巨噬细胞异质性的表征揭示了一个促进损伤诱导的VSMC增殖的修复型巨噬细胞亚群

血管内损伤激活的MSCs表现出增强的免疫调节特征
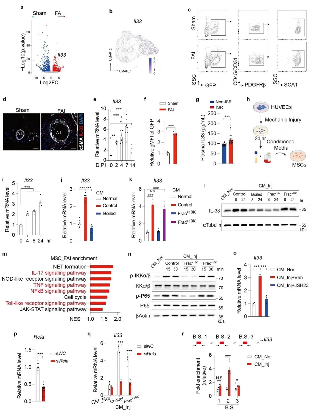
研究利用小鼠股动脉导丝损伤模型,模拟临床支架植入术对血管造成的内皮损伤。通过时间分辨的单细胞RNA测序和多色流式细胞术等高通量技术,团队动态解析了损伤后动脉壁内免疫景观的演变。
研究发现,损伤发生后,血管外膜中一群高表达PDPN的间充质基质细胞被激活。这些细胞是损伤局部白介素-33(IL-33)的主要细胞来源。机制上,损伤的内皮细胞释放热敏感大分子信号,激活了间充质基质细胞内的NF-κB信号通路,进而直接驱动了IL-33的转录与表达。

IL-33 在血管周围MSCs中的表达被血管内损伤激活的NF-κB信号通路增强

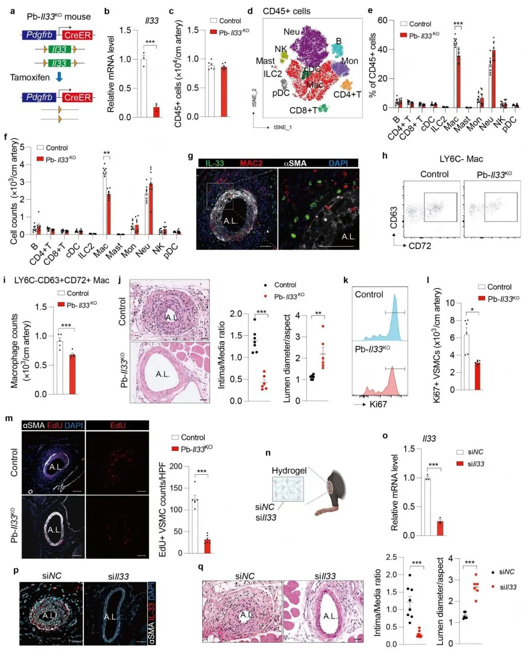
MSCs中IL-33的失活影响血管内损伤诱导的动脉免疫重塑并抑制新内膜增生
关键枢纽:ST2+ 修复型巨噬细胞

IL-33激活的动脉巨噬细胞促进血管内损伤诱导的VSMC增殖和新内膜形成
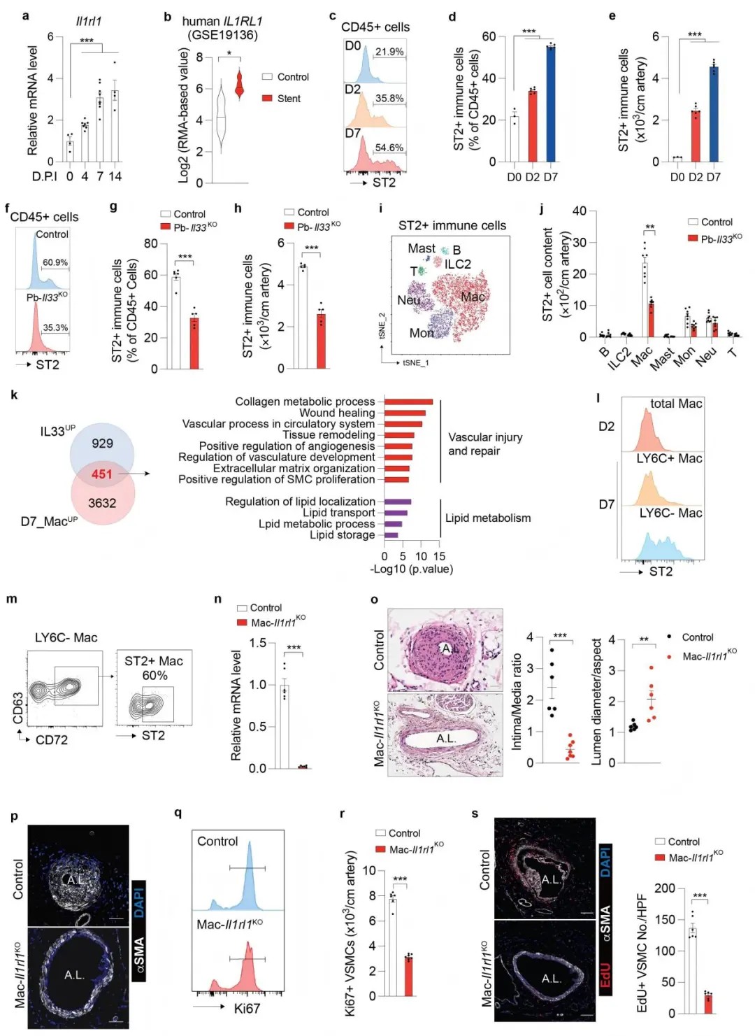
IL-33作为一种“警报素”细胞因子,需要与其特异性受体ST2结合发挥作用。研究表明,损伤显著提升了动脉中ST2的表达,并且大部分表达ST2的细胞是巨噬细胞。这些被IL-33激活的ST2阳性巨噬细胞,在功能上正是团队此前鉴定的、具有促修复功能的巨噬细胞亚群。
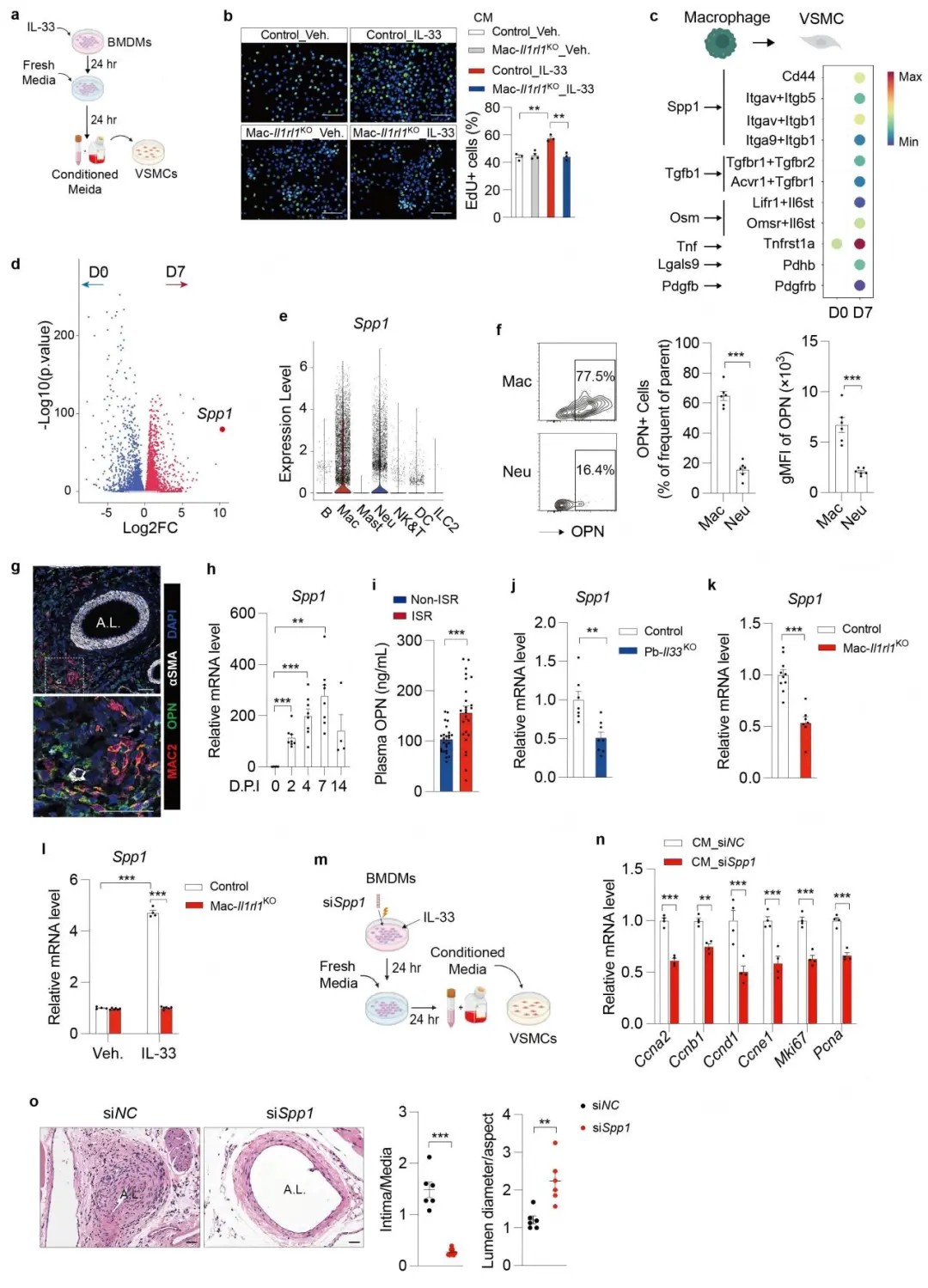
那么,活化的ST2阳性巨噬细胞如何促进血管狭窄?进一步的机制挖掘锁定了关键下游因子——骨桥蛋白。研究表明,IL-33-ST2信号能特异性地诱导巨噬细胞高表达并分泌骨桥蛋白。而骨桥蛋白则直接作用于血管平滑肌细胞,强力驱动其增殖。在基因敲除小鼠模型中,特异性阻断间充质基质细胞的IL-33或髓系细胞的ST2,均能显著降低损伤动脉中的骨桥蛋白水平,并有效抑制血管平滑肌细胞增殖和新内膜增生。

ST2+ 巨噬细胞来源的骨桥蛋白驱动血管内损伤后的新内膜增生
转化价值:局部干预展现治疗潜力
提出的模型:PDGFRβ+ 血管周围间充质细胞在血管内损伤期间指导ST2+ 巨噬细胞应答
团队设计了一种局部水凝胶递送系统,在损伤动脉周围局部应用包裹靶向IL-33或骨桥蛋白的小干扰RNA的水凝胶。这种局部干预策略,能够有效沉默损伤局部的靶基因表达,在不影响全身的情况下,显著减轻新内膜增生,遏制血管管腔狭窄。
研究意义与未来展望
该研究首次系统阐释了“血管外膜间充质基质细胞—IL-33—ST2阳性修复型巨噬细胞—骨桥蛋白—血管平滑肌细胞”这一调控轴在损伤诱导的新内膜增生中的核心作用。它不仅深化了我们对血管损伤修复中免疫-间质细胞对话的理解,更为防治支架内再狭窄提供了新的特异靶点。研究表明,基于水凝胶的递送系统有望成为一种有前景的策略,用于治疗心血管疾病,例如经皮冠状动脉介入治疗后的再狭窄。未来,进一步在人体中验证该机制,将推动相关疗法向临床迈进。
原文链接:
https://www.nature.com/articles/s41467-026-68587-x(转化医学网360zhyx.com)
【关于投稿】
转化医学网(360zhyx.com)是转化医学核心门户,旨在推动基础研究、临床诊疗和产业的发展,核心内容涵盖组学、检验、免疫、肿瘤、心血管、糖尿病等。如您有最新的研究内容发表,欢迎联系我们进行免费报道(公众号菜单栏-在线客服联系),我们的理念:内容创造价值,转化铸就未来!
转化医学网(360zhyx.com)发布的文章旨在介绍前沿医学研究进展,不能作为治疗方案使用;如需获得健康指导,请至正规医院就诊。
责任声明:本稿件如有错误之处,敬请联系转化医学网客服进行修改事宜!
微信号:zhuanhuayixue
腾讯登录
还没有人评论,赶快抢个沙发