首次揭示! 重庆大学附属肿瘤医院发文:潜在的乳腺癌预后生物标志物和治疗靶点
| 导读 | 本研究揭示了一个此前未被认识的 FXYD1–MAEA–DDX5 轴,通过非经典泛素 - 蛋白酶体途径抑制 Wnt/β-连环蛋白信号传导,确立了 FXYD1 作为乳腺癌中的肿瘤抑制因子、潜在预后生物标志物和治疗靶点。 |
近日,重庆大学附属肿瘤医院研究团队在期刊《Advanced Science》上发表了研究论文,题为“Promoter Hypermethylation-Induced Silencing of FXYD1 Drives Breast Cancer Metastasis via DDX5-Mediated Wnt/β-Catenin Pathway Activation”,本研究中,XYD1 被确定为在乳腺癌组织中显著下调的基因,且 FXYD1 表达水平低与患者预后不良相关。本研究揭示了一个此前未被认识的 FXYD1–MAEA–DDX5 轴,通过非经典泛素 - 蛋白酶体途径抑制 Wnt/β-连环蛋白信号传导,确立了 FXYD1 作为乳腺癌中的肿瘤抑制因子、潜在预后生物标志物和治疗靶点。
乳腺癌中表观遗传失调:肿瘤抑制基因失活全貌与功能影响待明
01
乳腺癌仍是全球女性中最常见的恶性肿瘤之一,也是导致女性癌症相关死亡的主要原因之一。尽管在早期检测和靶向治疗方面取得了重大进展,但肿瘤复发和转移,尤其是三阴性乳腺癌(TNBC)等侵袭性亚型,仍给临床带来巨大挑战。越来越多的证据表明表观遗传失调是乳腺癌发病机制的一个核心特征。特别是,表观遗传改变常常介导肿瘤抑制基因的转录沉默,破坏维持细胞稳态的关键调控网络。这种沉默不仅导致恶性转化,还促进肿瘤持续生长、治疗抵抗和转移进展。这种表观遗传抑制通常在肿瘤发展的早期阶段就已出现,并可能贯穿整个疾病演变过程,这凸显了其作为机制驱动因素和潜在治疗靶点的重要性。然而,乳腺癌中受表观遗传失活影响的肿瘤抑制基因的全貌,以及它们沉默后的功能影响,仍未完全明确。
FXYD1通过减弱Wnt/β-连环蛋白信号传导抑制肿瘤进展
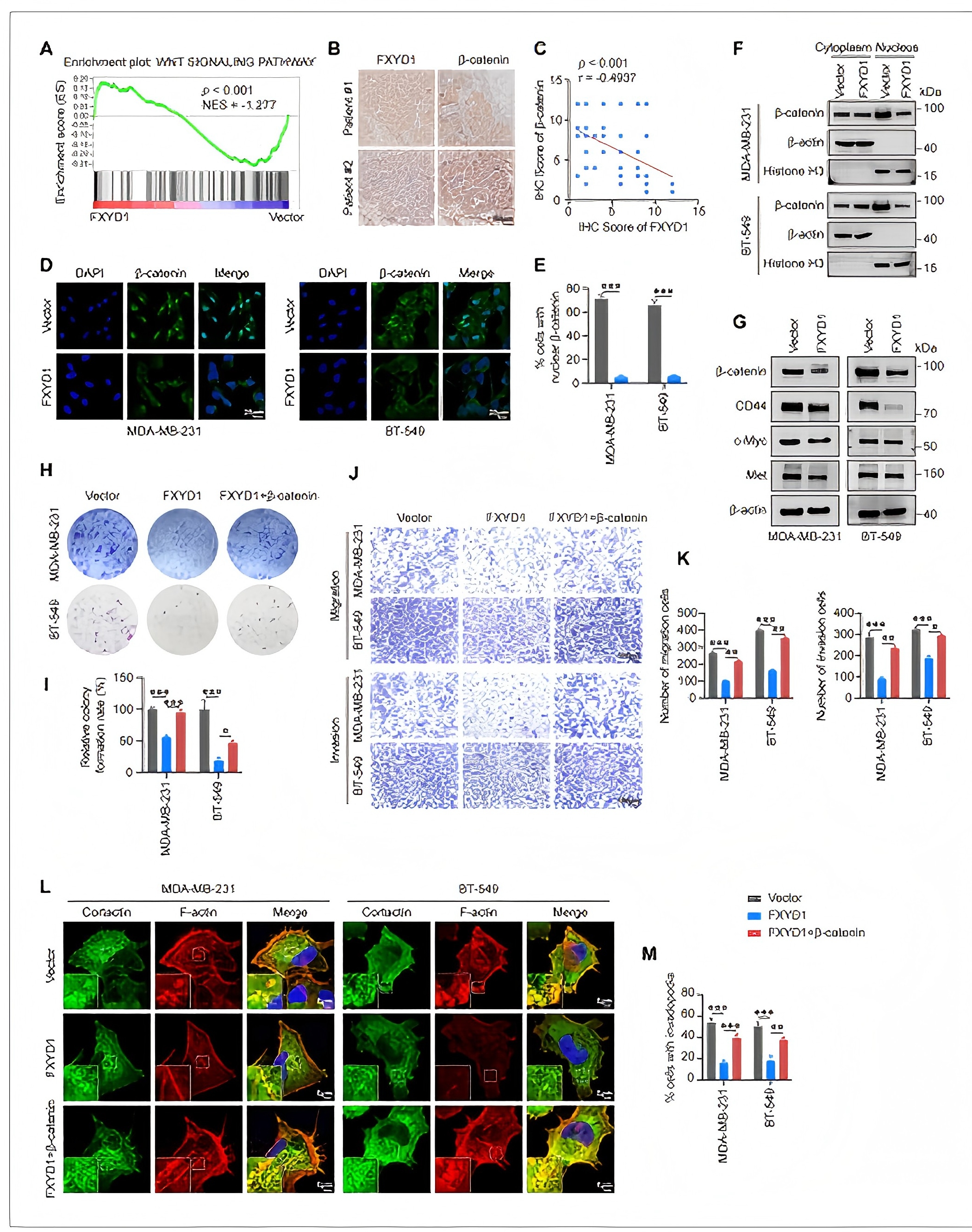
02
为了阐明 FXYD1 抑制乳腺癌进展的分子机制,研究人员对稳定过表达 FXYD1 或载体对照的 MDA-MB-231 细胞进行了 RNA 测序。基因集富集分析(GSEA)显示,FXYD1 过表达细胞中 Wnt/β-连环蛋白信号通路显著下调。鉴于 Wnt/β-连环蛋白信号通路在促进肿瘤增殖和转移方面的作用已得到充分证实,研究人员假设 FXYD1 可能通过抑制该通路发挥其肿瘤抑制作用。免疫荧光染色和核/胞质分离实验表明,与对照组相比,FXYD1 过表达细胞中β-连环蛋白的核定位显著减少,而β-连环蛋白正是在细胞核中发挥其转录活性。免疫印迹法和实时定量逆转录聚合酶链反应(qRT-PCR)结果一致表明,FXYD1 的异位表达显著降低了总β-连环蛋白水平以及下游靶基因(包括 c-Myc、CD44 和 Met)的表达。相反,FXYD1 敲低则提高了β-连环蛋白水平,并上调了这些靶基因,这表明 FXYD1 与乳腺癌细胞中的 Wnt/β-连环蛋白信号通路之间存在负向调节关系。
为了确定β-连环蛋白是否介导了 FXYD1 的肿瘤抑制功能,研究人员通过将β-连环蛋白重新引入 FXYD1 过表达的 MDA-MB-231 和 BT-549 细胞中进行了挽救实验。令人惊讶的是,β-连环蛋白表达的恢复在很大程度上逆转了 FXYD1 对细胞增殖、迁移和侵袭的抑制作用。一致地,qRT-PCR 分析表明,在 FXYD1 过表达的背景下,β-连环蛋白的重新表达使 Wnt/β-连环蛋白下游靶基因显著上调。总之,这些结果证实了 Wnt/β-连环蛋白信号通路的抑制是 FXYD1 抑制乳腺癌进展的关键机制。

FXYD1 通过减弱 Wnt/β-连环蛋白信号传导来抑制肿瘤进展
结论
03
总之,本研究确定了 FXYD1 是一种新的肿瘤抑制因子,它通过非经典的泛素 - 蛋白酶体途径调节 Wnt/β- 连环蛋白信号传导。对其上游调控、下游功能后果以及临床适用性的进一步研究可能会带来重要的见解,并为乳腺癌靶向治疗的发展开辟新的途径。
参考资料:
https://advanced.onlinelibrary.wiley.com/doi/10.1002/advs.202521921(转化医学网360zhyx.com)
【关于投稿】
转化医学网(360zhyx.com)是转化医学核心门户,旨在推动基础研究、临床诊疗和产业的发展,核心内容涵盖组学、检验、免疫、肿瘤、心血管、糖尿病等。如您有最新的研究内容发表,欢迎联系我们进行免费报道(公众号菜单栏-在线客服联系),我们的理念:内容创造价值,转化铸就未来!
转化医学网(360zhyx.com)发布的文章旨在介绍前沿医学研究进展,不能作为治疗方案使用;如需获得健康指导,请至正规医院就诊。
责任声明:本稿件如有错误之处,敬请联系转化医学网客服进行修改事宜!
微信号:zhuanhuayixue
腾讯登录
还没有人评论,赶快抢个沙发