首次发现!上海交通大学医学院附属仁济医院等单位合作发文:一种新的腹主动脉瘤治疗和预后标志物
| 导读 | 本研究揭示了 NFS1 在腹主动脉瘤的发展和进展中起着关键作用,表明 NFS1 可能成为该病症的一种新的治疗和预后标志物。 |
近日,上海交通大学医学院附属仁济医院/上海市肿瘤研究所研究团队在期刊《Advanced Science》上发表了题为“NFS1 Regulates IDH2 to Attenuate Abdominal Aortic Aneurysms via Interacting With SP2”的研究论文,本研究中,研究人员分析了 NFS1 在 AAA 发展中的作用。探讨了 NFS1 对 VSMCs 表型转换的调节作用。然后进一步通过 CUT&Tag 技术鉴定 NFS1 在 AAA 进展中涉及的靶点。AAA 患者和小鼠的腹主动脉组织中 NFS1 表达均下调。VSMCs 中 NFS1 缺陷导致糖酵解增强和线粒体功能受损,从而促进 VSMCs 的表型转化。抑制IDH2在一定程度上削弱了 NFS1 对腹主动脉瘤(AAA)的保护作用。本研究揭示了 NFS1 在腹主动脉瘤的发展和进展中起着关键作用,表明 NFS1 可能成为该病症的一种新的治疗和预后标志物。
腹主动脉瘤:现状、治疗困境与分子机制研究的重要性
01
腹主动脉瘤(AAA)是腹主动脉的永久性扩张,可导致灾难性破裂和猝死。值得注意的是,大多数 AAA 患者在致命破裂前无症状,因此 AAA 的预防和治疗策略非常复杂。尽管最近的血管内支架移植物和开放手术修复疗法显著改善了 AAA 患者的预后,但目前仍没有有效的药物疗法来限制 AAA 的进展和破裂。深入了解 AAA 形成的潜在分子机制对于开发有效的药物来预防和减缓 AAA 的进展和破裂至关重要。
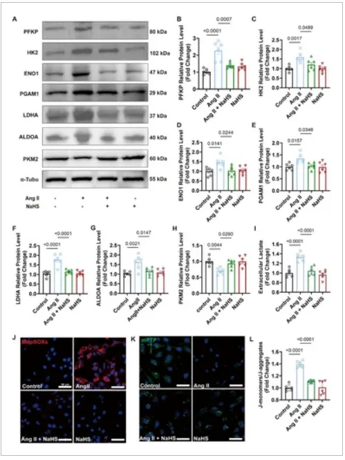
NFS1 调节 AAA 进展中的糖酵解通路
02
免疫细胞内糖酵解活性的变化在腹主动脉瘤(AAA)进展中起着关键作用。鉴于(IDH2)是三羧酸循环的重要组成部分,研究人员假设血管平滑肌细胞(VSMCs)中碳水化合物代谢的变化可能促进 AAA 的进展。为了验证这一假设,研究人员首先检测了关键糖酵解酶的表达情况。研究人员发现,大多数糖酵解酶,在血管紧张素 II(Ang II)处理后均上调,而在硫氢化钠(NaHS)处理后则恢复至与对照组相似的水平。只有(PKM2)在 Ang II 组中下调,但在 NaHS 给药后增加。无论是否使用 NaHS 处理,(LDHB)和(PGK1)均未观察到显著变化。
由于血管紧张素 II 组中糖酵解途径中大多数酶的表达上调,研究人员推测在这些条件下血管平滑肌细胞中可能会出现乳酸堆积。为了验证这一推测,研究人员接下来检测了细胞外和细胞内的乳酸含量。血管紧张素 II 处理后乳酸水平升高,但加入硫氢化钠后这种升高得到缓解。鉴于葡萄糖代谢的改变已知会损害线粒体功能,从而驱动多种疾病的发病机制。因此,研究人员接下来通过进行线粒体膜电位(JC-1)测定来探究线粒体功能。结果表明,血管紧张素 II 组中正常极化的线粒体减少,异常去极化的线粒体增加,而硫氢化钠共孵育则减轻了这种膜电位的下降。
膜电位的降低通常与活性氧(ROS)的积累以及线粒体通透性转换孔(mPTP)过度开放相关。一致地,血管紧张素 II 刺激增加了线粒体活性氧水平和 mPTP 开放,而硫氢化钠(NaHS)处理则显著减轻了这两种情况。

NFS1 在 AAA 进展过程中调节糖酵解通路
结论
03
总之,本研究发现了一个此前未被认识到的 NFS1-SP2-IDH2 轴的作用,该轴对于维持血管平滑肌细胞的收缩表型至关重要,从而有助于减缓腹主动脉瘤的进展。因此,NFS1 可能成为腹主动脉瘤的一种新的治疗和预后标志物。
参考资料:
https://advanced.onlinelibrary.wiley.com/doi/10.1002/advs.202505240(转化医学网360zhyx.com)
【关于投稿】
转化医学网(360zhyx.com)是转化医学核心门户,旨在推动基础研究、临床诊疗和产业的发展,核心内容涵盖组学、检验、免疫、肿瘤、心血管、糖尿病等。如您有最新的研究内容发表,欢迎联系我们进行免费报道(公众号菜单栏-在线客服联系),我们的理念:内容创造价值,转化铸就未来!
转化医学网(360zhyx.com)发布的文章旨在介绍前沿医学研究进展,不能作为治疗方案使用;如需获得健康指导,请至正规医院就诊。
责任声明:本稿件如有错误之处,敬请联系转化医学网客服进行修改事宜!
微信号:zhuanhuayixue
腾讯登录
还没有人评论,赶快抢个沙发