中国科学技术大学附属第一医院发文:增强治疗效果和改善胶质瘤患者预后有前景的策略
| 导读 | 本研究揭示了用 NP-G2-044 靶向 FSCN1 可能是一种有前景的策略,能够增强治疗效果并改善胶质母细胞瘤患者的预后。 |
近日,中国科学技术大学附属第一医院研究团队在期刊《Advanced Science》上发表了题为“Low YTHDC1 Expression Upregulates FSCN1 to Promote Nuclear F-Actin Formation and Facilitate Double-strand DNA Breaks Repair in TMZ-Resistant Glioblastoma”的研究论文,本研究中,研究人员发现在替莫唑胺耐药的胶质母细胞瘤细胞核内,丝状肌动蛋白(F-肌动蛋白)的形成增加。研究还表明,在替莫唑胺耐药的胶质母细胞瘤细胞中,FSCN1 的过表达会促进 F-肌动蛋白的形成,并有助于 DNA 双链断裂(DSB)的修复。进一步的研究表明,替莫唑胺耐药的胶质母细胞瘤细胞中 YTHDC1 的表达显著降低,YTHDC1 通过 m6A 修饰来调控 FSCN1。此外,FSCN1 通过招募 FGD1 激活 CDC42GTP 来激活 CDC42/N-WASP/Arp2/3 信号通路,从而驱动核内 F-肌动蛋白的形成。重要的是,将 FSCN1 抑制剂 NP-G2-044 与替莫唑胺治疗相结合,在体外和体内均显示出更强的抗肿瘤效果。总之,本研究证明了胶质母细胞瘤中核内 F-肌动蛋白的形成促进了 DSB 的修复,并揭示了用 NP-G2-044 靶向 FSCN1 可能是一种有前景的策略,能够增强治疗效果并改善胶质母细胞瘤患者的预后。
探究核F-肌动蛋白与胶质母细胞瘤TMZ耐药性
01
胶质母细胞瘤(GBM)是最常见且最具侵袭性的原发性脑肿瘤,5 年生存率仅为 7.2%。目前的标准治疗方案是手术切除后进行放疗和辅助化疗,使用替莫唑胺(TMZ)。尽管进行了大量研究,但胶质母细胞瘤的有效治疗方案仍然有限。对化疗和放疗的耐药性与 DNA 损伤反应(DDR)信号增强以及肿瘤细胞存活率提高有关,而这些又受到致癌和表观遗传通路紊乱的进一步促进。在胶质母细胞瘤中确定调节 DDR 的新机制可能会带来新的治疗策略,以减缓肿瘤生长、降低复发率,并最终改善患者预后。然而,F-肌动蛋白在胶质母细胞瘤化疗耐药性中的作用仍鲜为人知。因此,了解核 F-肌动蛋白如何导致胶质母细胞瘤细胞对替莫唑胺产生耐药性对于开发靶向治疗至关重要。
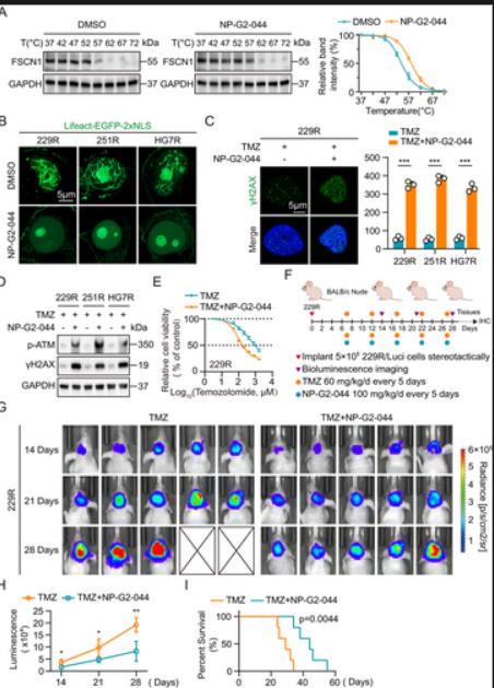
用TMZ联合FSCN1抑制剂NP-G2-044治疗在体内外均逆转了GBM对TMZ的耐药性
02
为了探究替莫唑胺(TMZ)联合疗法的潜在临床应用,研究人员选用了目前处于临床试验阶段的 FSCN1 抑制剂 NP-G2-044,其主要靶向肿瘤侵袭和转移的作用。研究人员进行了细胞热位移分析(CETSA),蛋白质印迹及免疫荧光染色实验。蛋白质印迹结果表明,在替莫唑胺耐药的 GBM 细胞中,替莫唑胺与 NP-G2-044 联合处理显著提高了 DNA 损伤标志物蛋白的水平,相比单独使用替莫唑胺处理。CCK8 细胞活力测定表明,替莫唑胺与 NP-G2-044 联合处理显著抑制了替莫唑胺耐药的 GBM 细胞的增殖活性。为了评估 NP-G2-044 对替莫唑胺耐药性的体内影响,研究人员使用替莫唑胺耐药的 229R 细胞系建立了小鼠原位 GBM 异种移植模型。总之,这些发现表明替莫唑胺与 NP-G2-044 的联合使用可能是克服替莫唑胺耐药性并提高治疗效果的一种有前景的策略。

替莫唑胺(TMZ)联合 FSCN1 抑制剂 NP-G2-044 的治疗在体外和体内均能逆转胶质母细胞瘤(GBM)对替莫唑胺的耐药性
结论
03
本研究结果表明,将 FSCN1 抑制剂 NP-G2-044 与替莫唑胺(TMZ)联合使用,为提高替莫唑胺的疗效并克服胶质母细胞瘤(GBM)的耐药性提供了一种有前景的治疗策略。(转化医学网360zhyx.com)
参考资料:
https://advanced.onlinelibrary.wiley.com/doi/10.1002/advs.202513632
【关于投稿】
转化医学网(360zhyx.com)是转化医学核心门户,旨在推动基础研究、临床诊疗和产业的发展,核心内容涵盖组学、检验、免疫、肿瘤、心血管、糖尿病等。如您有最新的研究内容发表,欢迎联系我们进行免费报道(公众号菜单栏-在线客服联系),我们的理念:内容创造价值,转化铸就未来!
转化医学网(360zhyx.com)发布的文章旨在介绍前沿医学研究进展,不能作为治疗方案使用;如需获得健康指导,请至正规医院就诊。
责任声明:本稿件如有错误之处,敬请联系转化医学网客服进行修改事宜!
微信号:zhuanhuayixue
腾讯登录
还没有人评论,赶快抢个沙发