诱导铁死亡!南京大学医学院附属鼓楼医院/南京大学合作发文:克服胰腺癌耐药性的治疗新策略
| 导读 | 尽管在几种实体瘤的免疫治疗方面取得了进展,但胰腺导管腺癌(PDAC)仍大多无应答,这主要是由于其肿瘤微环境(TME)具有强烈的免疫抑制性,其特征是 CD8+ T 细胞浸润有限。需要新的策略来克服这种免疫抵抗并提高检查点阻断的疗效。 |
近日,南京大学医学院附属鼓楼医院/南京大学研究团队合作共同在期刊《Journal for ImmunoTherapy of Cancer》上发表了研究论文,题为“Epigenetic suppression of Nrf2–Slc40a1 axis induces ferroptosis and enhances immunotherapy in pancreatic cancer”,本研究中,研究人员确定了组蛋白去甲基化酶抑制剂 JIB04,它与抗 PD-1 疗法协同作用,增强了 PDO-T 细胞共培养中的 T 细胞细胞毒性。铁死亡应激促进了 CD8+ T 细胞浸润和活化,从而将胰腺导管腺癌(PDAC)的肿瘤微环境(TME)从“冷”转变为“热”。Nrf2 和 Slc40a1 表达较低的 PDAC 患者表现出更高的 CD8+ T 细胞浸润,并对抗 PD-1 疗法有更佳的反应。本研究结果确立了一个用于精准免疫治疗筛选的 PDO-T 细胞平台,并确定 JIB04 是一种有前景的表观遗传药物,它能诱导铁死亡并使胰腺导管腺癌对免疫检查点阻断更敏感。这种基于铁死亡的重编程为克服胰腺导管腺癌的耐药性并改善临床结果提供了潜在策略。

https://jitc.bmj.com/content/13/10/e013269
研究背景
01
免疫检查点阻断(ICB),例如靶向程序性细胞死亡蛋白 1(PD-1)或细胞毒性 T 淋巴细胞相关蛋白 4 的抗体,在包括黑色素瘤、非小细胞肺癌和肾细胞癌在内的多种癌症类型中已展现出显著的治疗益处。然而,胰腺导管腺癌(PDAC)对基于 ICB 的疗法仍大多具有抗性,大多数患者表现出极小或无临床反应。这种有限的疗效主要归因于高度免疫抑制的肿瘤微环境(TME)、低肿瘤突变负荷以及效应 T 细胞浸润不良——这些都是“免疫冷”肿瘤的特征。因此,确定能够使肿瘤发炎并增强肿瘤内在免疫原性的新治疗策略,从而实现增强现有免疫疗法疗效的联合疗法,至关重要。表观遗传调节因子在肿瘤的发生、发展和治疗抵抗中发挥着关键作用。越来越多的证据进一步强调了它们在调节肿瘤免疫微环境中的核心作用。这些发现表明表观遗传干预是增强免疫检查点阻断疗法临床效益的一种有价值的策略。
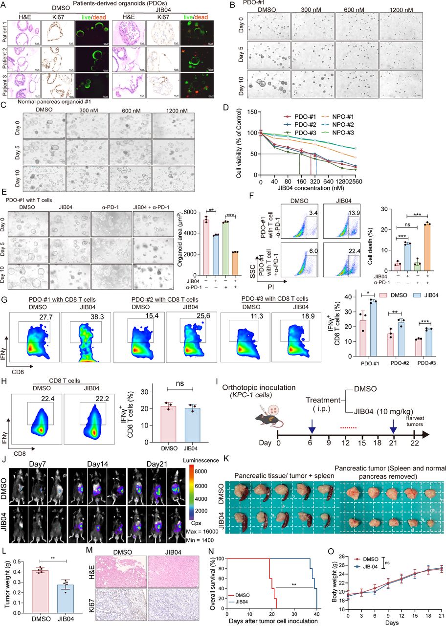
JIB04 治疗增强了胰腺导管类器官(PDOs)中的 T 细胞细胞毒性,并调节体内胰腺肿瘤的生长
02
为了进一步评估 JIB04 在三名无应答者来源的类器官中的治疗效果,研究人员进行了 H&E、免疫荧光(IF)和免疫组织化学(IHC)染色。与DMSO对照组相比,JIB04 治疗导致 Ki67 水平降低,并诱导了明显的细胞死亡。进一步分析表明,JIB04 在三名无应答者来源的类器官和三名正常胰腺类器官中的反应存在差异。值得注意的是,JIB04 在正常胰腺类器官中的 IC50 值比在无应答者来源的类器官中高出数十倍,表明其具有选择性毒性。研究人员进一步研究了其对无应答者来源的类器官与自体 T 细胞共培养时细胞活力的影响。研究人员观察到,当 JIB04 与抗 PD-1 疗法联合使用时,类器官的大小显著减小,死亡细胞数量增加。此外,在类器官 - T 细胞共培养系统中,JIB04 给药增强了 CD8+ T 细胞的细胞毒性。相反,单独用相同浓度的 JIB04 处理 CD8+ T 细胞并未增加其细胞毒性。这些发现表明,JIB04 诱导的 T 细胞介导的细胞毒性依赖于肿瘤细胞的变化。

JIB04 治疗增强了胰腺导管类器官(PDOs)中的 T 细胞细胞毒性,并调节体内胰腺肿瘤的生长
为了进一步阐明 JIB04 对胰腺导管腺癌(PDAC)的抗肿瘤作用,研究人员采用源自 KPC 小鼠模型的 PDAC 细胞系 KPC-1 建立了原位胰腺癌小鼠模型。研究发现表明 JIB04 具有强大的抗肿瘤作用,其诱导的 T 细胞介导的细胞毒性依赖于肿瘤细胞内在的改变。
结论
03
总的来说,研究人员发现了一种新的表观遗传组合疗法,该疗法能诱导肿瘤细胞发生铁死亡,从而重塑抗肿瘤免疫反应,并增强免疫疗法的效果。(转化医学网360zhyx.com)
参考资料:
https://jitc.bmj.com/content/13/10/e013269
【关于投稿】
转化医学网(360zhyx.com)是转化医学核心门户,旨在推动基础研究、临床诊疗和产业的发展,核心内容涵盖组学、检验、免疫、肿瘤、心血管、糖尿病等。如您有最新的研究内容发表,欢迎联系我们进行免费报道(公众号菜单栏-在线客服联系),我们的理念:内容创造价值,转化铸就未来!
转化医学网(360zhyx.com)发布的文章旨在介绍前沿医学研究进展,不能作为治疗方案使用;如需获得健康指导,请至正规医院就诊。
责任声明:本稿件如有错误之处,敬请联系转化医学网客服进行修改事宜!
微信号:zhuanhuayixue
腾讯登录
还没有人评论,赶快抢个沙发