推荐活动

《Advanced Science》封面研究揭示靶向DCAF12-TRiC/CCT轴抗癌新策略

首页 » 《转》译 2025-12-12 转化医学网 赞(2)
分享: 
导读
这一发现不仅为肺癌靶向治疗提供了新的潜在干预靶点,也深化了对泛素化信号网络与蛋白质稳态调控机制的理解。

近日,温州医科大学附属第一医院医学研究中心韦栋平研究员、同济大学附属上海肺科医院许亚萍教授、复旦大学附属肿瘤医院陈佳艳教授团队开展跨机构合作,在《Advanced Science》期刊以封面论文形式发表一项开创性研究。该研究首次揭示CRL4-DCAF12泛素连接酶通过介导非降解性泛素化修饰直接激活TRiC/CCT伴侣蛋白复合物,进而驱动肺癌远处转移的全新机制。这一发现不仅为肺癌靶向治疗提供了新的潜在干预靶点,也深化了对泛素化信号网络与蛋白质稳态调控机制的理解。

研究背景:肿瘤远处转移机制未明与泛素化研究的范式突破

肿瘤远处转移是癌症治疗的主要挑战。尽管蛋白质稳态在肿瘤进展中的关键作用已被广泛确认,但泛素系统如何通过调控分子伴侣网络驱动转移进程仍不明确。本研究突破了将泛素化功能固化为"降解标签"的传统认知,发现CRL4泛素连接酶底物识别亚基DCAF12具有非经典功能:它能够催化形成K63/K27连接的多聚泛素链,一次性标记TRiC/CCT分子伴侣的全部八个亚基。这种独特的"泛素涂鸦"并不导致TRiC/CCT亚基降解,而是作为高效的"变构激活信号",显著增强TRiC/CCT复合物的组装效率与折叠能力,从而为其客户蛋白提供"超级折叠服务",最终驱动肺癌细胞远处转移。

核心发现:DCAF12-TRiC/CCT轴通过结构与信号双重调控驱动肺癌转移

本研究系统阐明了DCAF12-TRiC/CCT轴通过"双重赋能"模式驱动肺癌转移的精细调控网络。在结构层面,该轴通过保障微管蛋白等细胞骨架蛋白的有效折叠与装配,为肿瘤细胞构建高效的"运动硬件系统";在信号层面,则通过促进STAT3和mTOR等关键信号蛋白的正确构象形成,激活驱动肿瘤恶性进展的"致癌软件系统"。研究还发现,DCAF12-TRiC/CCT轴调控的细胞骨架动态重塑可进一步通过机械张力激活YAP信号通路,在"结构硬件"与"信号软件"之间建立自我强化的正反馈环路,实现肿瘤转移潜能的持续放大。

DCAF12通过其CRL4复合物的泛素连接酶活性驱动肺癌转移

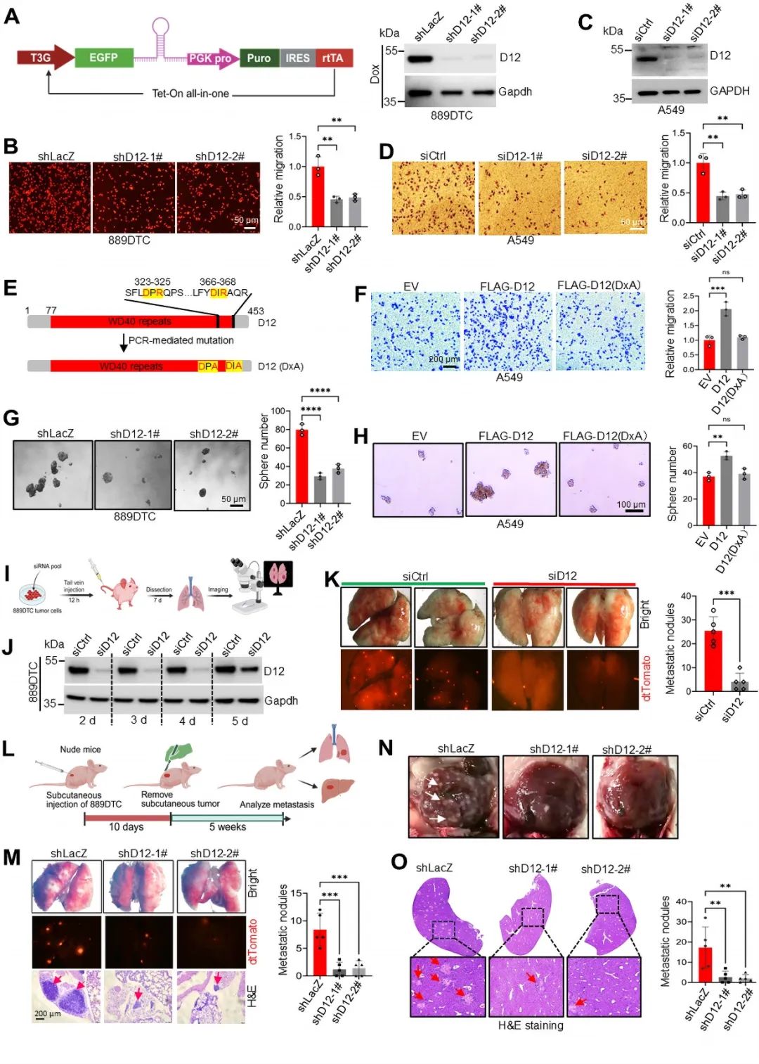
首先,为确认DCAF12的核心功能,研究通过结合DCAF12基因突变与RNA干扰技术,在细胞和动物模型层面均证实 DCAF12依赖于其CRL4复合物的泛素连接酶活性驱动肺癌细胞远处转移。

DCAF12促进肺癌转移的生物学效应有赖于其对TRiC/CCT的泛素化调控

接着,为厘清DCAF12与TRiC/CCT的直接联系,研究团队联合CRISPR基因编辑技术与蛋白质相互作用(PPI)抑制性多肽,进一步揭示 DCAF12促进肿瘤转移的生物学功能,核心依赖于其对TRiC/CCT的泛素化调控。

靶向抑制TRiC/CCT复合物有效抑制肿瘤远处转移

以上内容就构成了完整的证据链:DCAF12是“主谋”,TRiC/CCT是“执行者”。那么,抑制“执行者”是否有效?随后的实验给出了肯定的答案。研究采用TRiC/CCT复合物小分子抑制剂HSF1A作为功能探针,通过体外与动物实验证实抑制该复合物活性能够显著削弱肺癌细胞的转移潜能。


肺癌转移的“助推器”:DCAF12-TRiC/CCT轴工作机制示意图

本图阐释DCAF12通过泛素化“劫持”TRiC/CCT驱动肿瘤转移的机制:CRL4-DCAF12对TRiC/CCT各亚基进行非降解性泛素化修饰,将其组装为一台高效的“蛋白质折叠机器”,通过同时正确折叠细胞骨架蛋白(运动“硬件”)与致癌信号蛋白(信号“软件”),协同促进肺癌细胞的侵袭与远处转移。

研究意义与展望

本研究将DCAF12-TRiC/CCT轴界定为转移性肿瘤细胞的"阿克琉斯之踵"——既是维持癌细胞异常蛋白质稳态的核心枢纽,也构成其独特脆弱性。基于此,我们创新性提出"通过靶向破坏DCAF12-TRiC/CCT轴诱发癌细胞内致命蛋白稳态压力"的抗肿瘤策略,旨在选择性清除播散肿瘤细胞,同时在正常组织中保持高度安全性。

基于清晰的分子机制,我们发展了两种靶向干预策略:首先设计合成特异性阻断DCAF12与TRiC/CCT亚基相互作用的抑制性多肽(国家发明专利202511228680.7),从分子互作源头实现精准干预;其次发现小分子化合物HSF1A抑制TRiC/CCT功能的新用途(国家发明专利202511136438.7),体现"老药新用"的转化医学思路。该化合物在临床前模型中显示出良好的安全性及显著抗转移效力。这些策略分别从"上游互作界面"与"下游复合物功能"层面构建多维度干预体系,不仅为抗肿瘤转移药物研发提供全新候选实体,也展示了靶向蛋白质稳态调控网络的创新治疗范式。(转化医学网360zhyx.com)

全文链接:

[Articles & Chapters: dcaf12] AND [Journal: Advanced Science] : Search


供稿:王振毅,吴磊磊

审核:陈佳艳、许亚萍和韦栋平


【关于投稿】

转化医学网(360zhyx.com)是转化医学核心门户,旨在推动基础研究、临床诊疗和产业的发展,核心内容涵盖组学、检验、免疫、肿瘤、心血管、糖尿病等。如您有最新的研究内容发表,欢迎联系我们进行免费报道(公众号菜单栏-在线客服联系),我们的理念:内容创造价值,转化铸就未来!

转化医学网(360zhyx.com)发布的文章旨在介绍前沿医学研究进展,不能作为治疗方案使用;如需获得健康指导,请至正规医院就诊。

责任声明:本稿件如有错误之处,敬请联系转化医学网客服进行修改事宜!

微信号:zhuanhuayixue

评论:
评 论
共有 0 条评论

    还没有人评论,赶快抢个沙发