阻碍自噬流!山东大学齐鲁医院发文:新的、有前景的乳腺癌治疗靶点
| 导读 | TRIM38是一种E3泛素蛋白连接酶,之前被认为在先天免疫和炎症反应中发挥作用,但其在乳腺癌调控中的角色尚不明确。 |
近日,山东大学齐鲁医院研究团队在期刊《Advanced Science》上发表了研究论文,题为“TRIM38 Suppresses Breast Cancer Progression via Modulating SQSTM1 Ubiquitination and Autophagic Flux”,本研究阐明了 TRIM38 在乳腺癌进展中的抑制作用。研究结果表明,与相邻的非癌组织相比,乳腺癌组织中 TRIM38 的表达降低,其表达水平的降低与乳腺癌患者的不良临床结局相关。体外和体内实验均表明,TRIM38 抑制乳腺癌细胞的增殖、迁移和侵袭。此外,还观察到 TRIM38 蛋白水平与自噬流之间存在反向调节关系。综上所述,这些发现强调了 TRIM38 是自噬的关键调节因子,并为乳腺癌提供了新的、有前景的治疗靶点。

https://advanced.onlinelibrary.wiley.com/doi/10.1002/advs.202512725
探究细胞信号通路与乳腺癌进展机制
01
乳腺癌是全球女性中癌症发病率的第二大原因。然而,导致其发生和发展的具体机制仍不清楚。据报道,一些重要的细胞信号通路,如泛素化和自噬等,参与了乳腺癌的增殖和转移过程。对这些通路中关键分子的深入研究有助于阐明乳腺癌进展的机制,从而为潜在的治疗靶点提供依据,并最终开发出有效的乳腺癌靶向治疗药物。
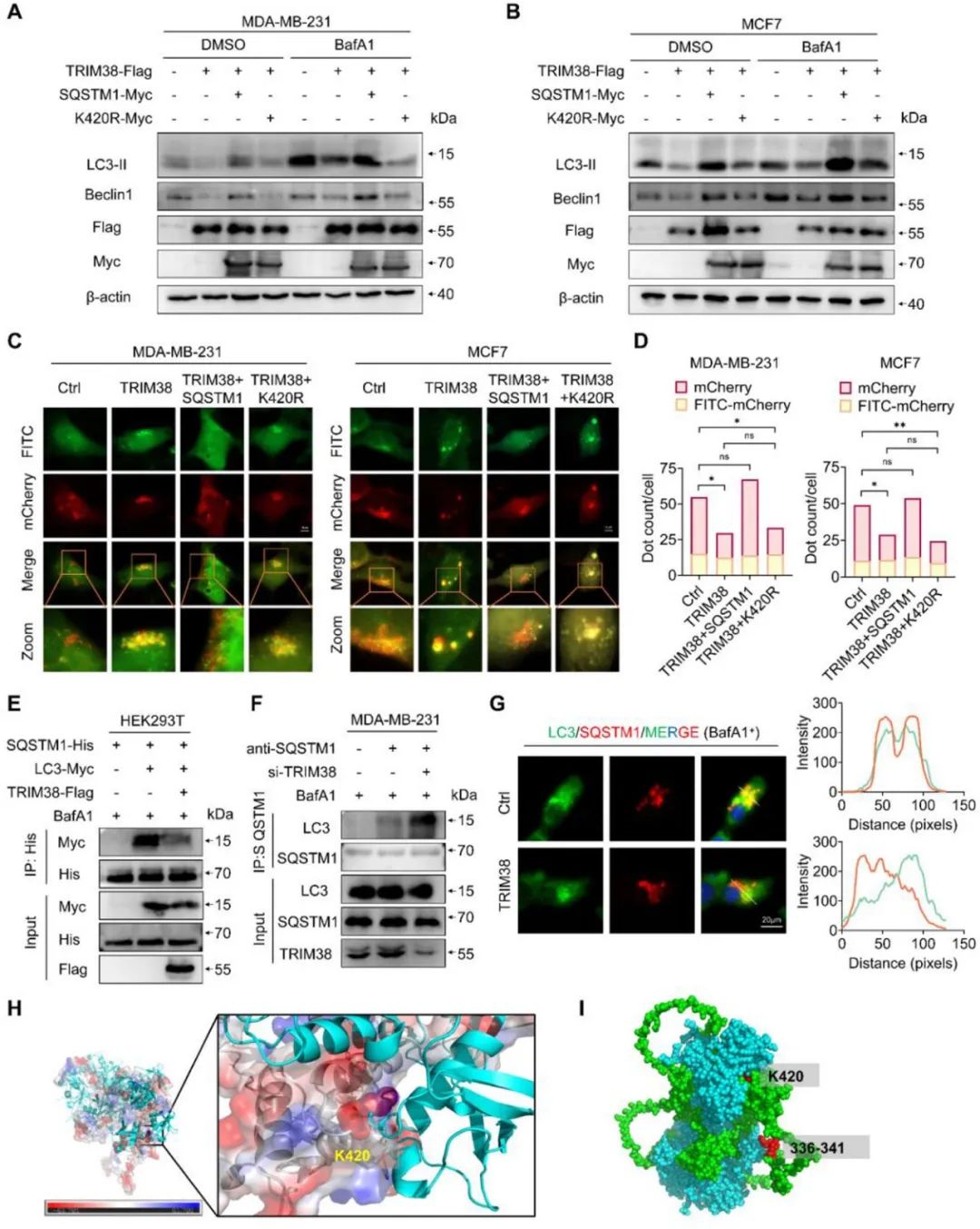
TRIM38介导的SQSTM1 K420泛素化通过阻塞其LIR结构域阻碍自噬流
02
为了更深入地探究 TRIM38 通过泛素化 SQSTM1 调节自噬流的机制,研究人员进行了挽救实验。蛋白质印迹分析和自噬流测定结果一致表明,野生型 SQSTM1 能够挽救 TRIM38 诱导的自噬流下调,而泛素化缺陷型突变体 SQSTM1 K420R 则不能。这些发现支持了关于 TRIM38 与 SQSTM1 相互作用导致 SQSTM1 功能受损的假设。鉴于 SQSTM1 在自噬中的已知作用,研究人员进行了免疫共沉淀实验以研究 SQSTM1 与 LC3 之间的相互作用。结果表明,TRIM38 降低了 HEK293T 细胞中 SQSTM1 与 LC3 的结合。相应地,敲低 TRIM38 增强了乳腺癌细胞中 SQSTM1 与 LC3 的内源性相互作用。随后的免疫荧光分析进一步揭示,TRIM38 扰乱了 SQSTM1 与 LC3 的共定位。为了深入了解这种相互作用的结构基础,研究人员采用分子对接技术构建了在 K420 位点泛素化并带有 K63 连接泛素链的 SQSTM1 的虚拟模型。该模型表明,连接在 K420 位点的 K63 泛素链可能会阻碍 LC3 的 LIR 结构域(氨基酸 335 - 341),从而可能导致 SQSTM1 与 LC3 的分离。综合来看,这些数据表明,由 TRIM38 引起的 SQSTM1 K420 泛素化通过阻碍其 LIR 结构域的相互作用,从而破坏了 SQSTM1 与 LC3 的结合,进而阻碍了自噬流。

TRIM38 对 SQSTM1 K420 的泛素化可能通过阻断其 LIR 结构域来阻碍自噬流
结论
03
总体而言,本研究结果表明,TRIM38 在乳腺癌进展中发挥着肿瘤抑制因子的作用,并确立了其作为预后良好生物标志物的潜力,与乳腺癌患者的长期生存相关。从机制上讲,TRIM38 介导 SQSTM1 的非降解性 K63 连接泛素化,这会降低其与 LC3 的结合,从而导致自噬流阻断和营养物质回收中断。这些发现加深了研究人员对自噬调节的理解,并为开发特定的激动剂以调节癌症中的这一过程奠定了基础,这对癌症治疗具有重要意义。(转化医学网360zhyx.com)
参考资料:
https://advanced.onlinelibrary.wiley.com/doi/10.1002/advs.202512725
【关于投稿】
转化医学网(360zhyx.com)是转化医学核心门户,旨在推动基础研究、临床诊疗和产业的发展,核心内容涵盖组学、检验、免疫、肿瘤、心血管、糖尿病等。如您有最新的研究内容发表,欢迎联系我们进行免费报道(公众号菜单栏-在线客服联系),我们的理念:内容创造价值,转化铸就未来!
转化医学网(360zhyx.com)发布的文章旨在介绍前沿医学研究进展,不能作为治疗方案使用;如需获得健康指导,请至正规医院就诊。
责任声明:本稿件如有错误之处,敬请联系转化医学网客服进行修改事宜!
微信号:zhuanhuayixue
腾讯登录
还没有人评论,赶快抢个沙发