新机制见解!同济大学附属东方医院等单位发文:克服肿瘤耐药性和提高病理缓解率的潜在策略
| 导读 | 新辅助化疗免疫疗法(NACI)对局部晚期宫颈癌(LACC)显示出希望,但药物耐受性持久细胞(DTP)和免疫抑制微环境适应性限制了其临床疗效。 |
近日,同济大学附属东方医院/华中科技大学同济医学院附属同济医院/同济大学附属同济医院和生命科学与技术学院研究团队合作共同在期刊《Journal for ImmunoTherapy of Cancer》上发表了研究论文,题为“Oligoclonal tumor-specific CD8 T-cell revival and IRE1α/XBP1-GDF15-mediated immunosuppressive niches determine neoadjuvant chemoimmunotherapy efficacy in cervical cancer”,本研究提供了关键见解,表明 NACI 耐药源于 DTP 细胞中适应性内质网应激信号传导以及空间组织的免疫抑制网络。靶向IRE1α/XBP1-GDF15 轴是一种可行的策略,能够重新编程微环境生态,从而改善免疫治疗效果。

https://jitc.bmj.com/content/13/11/e012630#sec-20
免疫疗法新进展与宫颈癌治疗的知识空白
01
免疫疗法彻底改变了宫颈癌(CC)的非手术治疗方式。临床试验已证实多种基于免疫检查点抑制剂(ICI)的治疗方案,包括与化疗和放化疗联合使用的方案,在晚期或转移性宫颈癌中的有效性和安全性。在此基础上,研究人员最近证明了使用抗程序性细胞死亡蛋白 1(PD-1)抗体卡瑞利珠单抗与顺铂加白蛋白结合型紫杉醇进行新辅助化疗免疫治疗(NACI)对局部晚期宫颈癌(LACC)的潜力,取得了前所未有的客观缓解率。尽管取得了这些进展,但相对较低的完全缓解率表明,在如何通过联合疗法重塑肿瘤微环境(TME)以实现完全根除方面仍存在知识空白。关键的是,克服药物耐受性持久细胞(DTP)及其相关的免疫抑制微环境适应性是优化治疗效果的根本前提。
IRE1α/XBP1 介导的 DTP 表型的实验验证
02
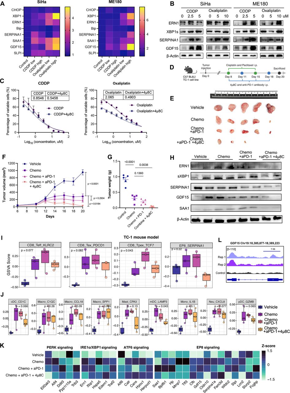
为了描绘化疗免疫疗法对肿瘤微环境(TME)重塑的影响,并评估IRE1α/XBP1抑制剂4μ8C的治疗潜力,研究人员对接受不同治疗方案的小鼠模型的肿瘤样本进行了RNA测序(n=3)。基因集变异分析(GSVA)显示,化疗显著增加了CD8+T细胞浸润,而与抗PD-1免疫疗法联合使用进一步增强了祖细胞耗竭CD8+T细胞群的转录活性。化疗免疫疗法还引发了肥大细胞浸润的显著增加,而与IRE1α/XBP1抑制剂4μ8C联合治疗则减轻了这一效应。这些发现表明,XBP1信号传导可能在治疗期间协调肥大细胞的募集,抑制其作用可能抵消免疫逃逸性微环境重塑。
尤其是,化疗上调了与 EP8 相关的转录特征,而 4μ8C 的联合给药则消除了这些效应,抑制了 EP8 特征和 IRE1α/XBP1 通路的激活。为了进一步确定 EP8 特征是否由 XBP1 转录调控,研究人员分析了源自肝细胞癌 HepG2 细胞系的 XBP1 染色质免疫沉淀测序(ChIP-seq)数据集。这些结果表明 GDF15 是 EP8 网络中 XBP1 的唯一直接转录靶点,暗示 GDF15 是 DTP 细胞驱动免疫逃逸的关键介质,这与先前的证据一致,即中和 GDF15 与抗 PD-1 疗法协同作用。这些发现表明,IRE1α/XBP1 介导的内质网应激在 EP8 富集的肿瘤中协调了化疗耐药性和免疫逃逸,提示靶向 IRE1α/XBP1 通路或 GDF15 可能克服 CC 中的新辅助化疗耐药性。
内质网应激激活驱动宫颈癌的化疗耐药性和免疫逃逸
结论
03
综上,靶向IRE1α/XBP1-GDF15 轴以破坏免疫抑制微环境是克服耐药性并提高主要病理缓解率的潜在策略。这一机制见解表明抗 GDF15 抗体和 IRE1α/XBP1 抑制剂是联合治疗开发的高优先级候选药物。(转化医学网360zhyx.com)
参考资料:
https://jitc.bmj.com/content/13/11/e012630#sec-20
【关于投稿】
转化医学网(360zhyx.com)是转化医学核心门户,旨在推动基础研究、临床诊疗和产业的发展,核心内容涵盖组学、检验、免疫、肿瘤、心血管、糖尿病等。如您有最新的研究内容发表,欢迎联系我们进行免费报道(公众号菜单栏-在线客服联系),我们的理念:内容创造价值,转化铸就未来!
转化医学网(360zhyx.com)发布的文章旨在介绍前沿医学研究进展,不能作为治疗方案使用;如需获得健康指导,请至正规医院就诊。
责任声明:本稿件如有错误之处,敬请联系转化医学网客服进行修改事宜!
微信号:zhuanhuayixue
腾讯登录
还没有人评论,赶快抢个沙发