可应对骨转移治疗挑战!浙江大学等单位合作发文:建立一种神经免疫治疗模式
| 导读 | 这项工作建立了一个具有变革性的神经免疫治疗平台,能够瓦解自我强化的转移微环境,同时解决其后遗症。 |
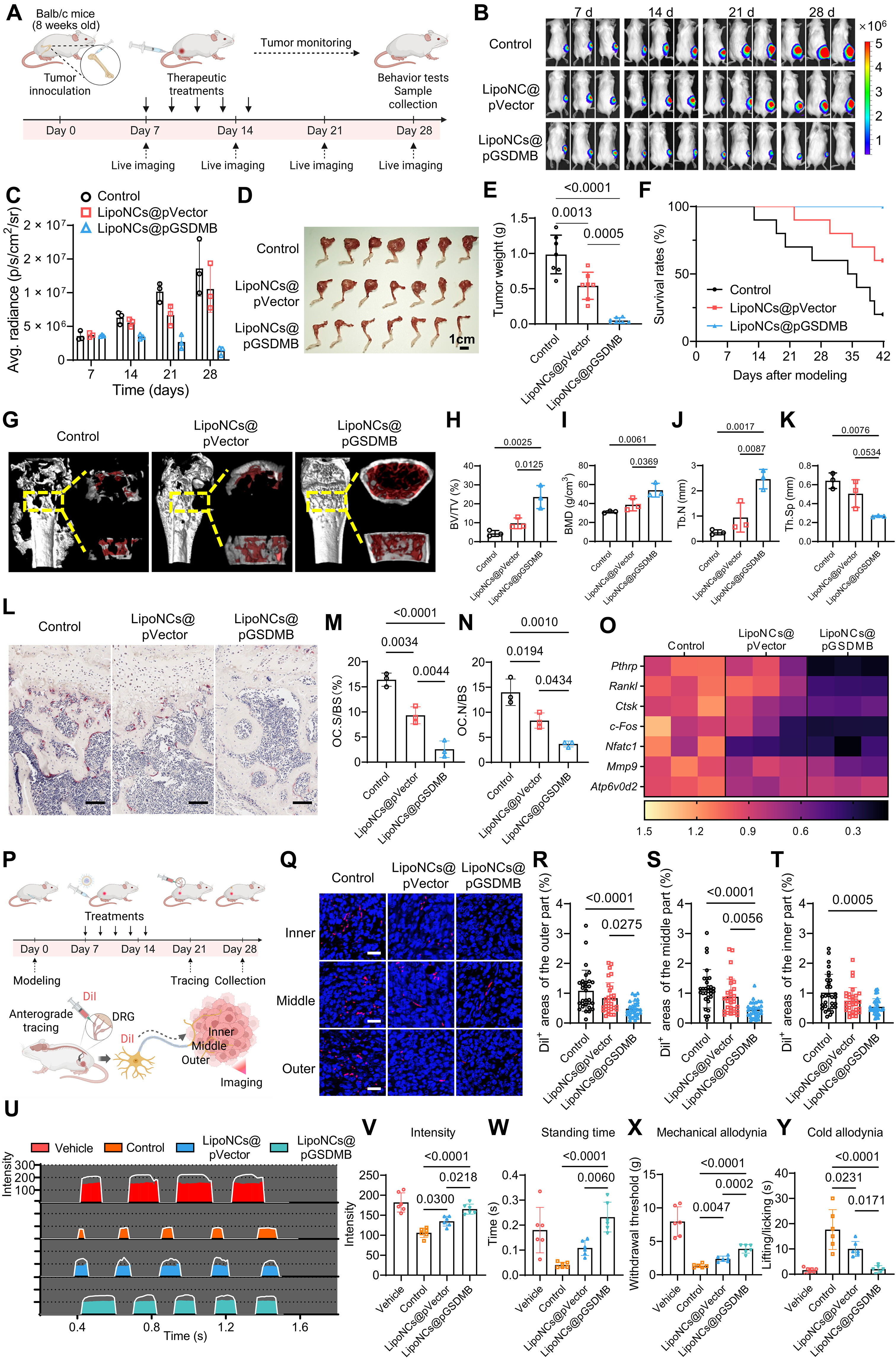
近日,浙江大学/浙江大学医学院附属邵逸夫医院研究团队在期刊《Science Advances》上发表了题为“Oxidation-activated nanotherapy boosts tumor immunity and disrupts tumor-nerve crosstalk to combat bone metastases and cancer pain”的研究论文,该研究开发了一种对活性氧(ROS)有响应的脂质体纳米平台(LipoNCs@pGSDMB),该平台可同时递送一种聚合干扰素基因刺激剂(STING)激动剂和一种坏疽病菌毒素 B(GSDMB)质粒,用于双重神经免疫调节。在转移性骨微环境中的肿瘤选择性激活后,这种纳米疗法可诱导 STING 驱动的免疫启动和 GSDMB 介导的细胞焦亡,从而引发强大的抗肿瘤反应。在乳腺癌骨转移模型中,这种方法实现了 94%的肿瘤抑制率、完全缓解疼痛以及有效的骨修复。通过将氧化响应纳米材料工程、免疫调节和神经回路重编程相结合,这项工作建立了一个具有变革性的神经免疫治疗平台,能够瓦解自我强化的转移微环境,同时解决其后遗症。
骨转移:晚期恶性肿瘤的棘手挑战与治疗困境
01
骨转移是晚期恶性肿瘤的一种致命表现,超过 70% 的转移性乳腺癌或前列腺癌患者会受到其影响。尽管在治疗方面取得了一些进展,但中位生存期仍仅限于 2 至 3 年,5 年生存率低于 10%。目前的疗法只能适度延缓骨相关事件(SREs),包括溶骨性破坏和病理性骨折,但无法解决骨微环境中驱动转移性进展的复杂且动态的相互作用。骨是一个血管化和神经支配的生态位,通过与骨内驻留细胞的复杂相互作用支持肿瘤定植并维持疾病。有效的治疗需要能够破坏这种适应性生态系统的策略。
LipoNCs@pGSDMB 对骨转移的治疗效果显著增强
02
鉴于感觉神经在骨转移进展中的作用正逐渐受到认可,研究人员接下来评估了 LipoNCs@pGSDMB 是否能调节体内肿瘤与神经的相互作用。先前的研究表明,在骨癌模型中,STING 激活可降低感觉神经元的兴奋性,这表明本系统在骨转移环境中可能具有神经调节的益处。为了可视化肿瘤内感觉纤维的分布,研究人员进行顺行轴突追踪,这些神经节支配小鼠后肢,即股内转移模型中肿瘤植入的部位。虽然 DRG 神经元的胞体位于脊柱内,但其轴突向外周延伸,浸润肿瘤组织并融入局部微环境。基于 DiI 的荧光成像显示,与 LipoNCs@pVector 组和对照组相比,LipoNCs@pGSDMB 显著减少了肿瘤外周、中间和中心区域的感觉轴突浸润。
为评估肿瘤神经调节的功能结果,研究人员对荷瘤小鼠进行了步态分析,以评估其运动协调性和患肢承重情况。接受 LipoNCs@pGSDMB 治疗的小鼠表现出患肢耐力增强和体重分布改善,表明其痛觉负担减轻。同样,包括 Von Frey 纤维测试和丙酮诱导的冷痛觉过敏在内的行为疼痛测试显示,LipoNCs@pGSDMB 组的机械和冷痛觉过敏显著降低。综上所述,这些发现表明 LipoNCs@pGSDMB 不仅能抑制肿瘤生长和骨骼破坏,还能减轻异常神经浸润和痛觉信号传导,从而在骨转移的肿瘤抑制和疼痛缓解方面提供双重益处。

脂质体纳米囊泡@pGSDMB 展示出强大的肿瘤杀伤效果、神经调节作用以及预防骨破坏能力
研究意义
03
总之,研究人员提出了一种神经免疫调节纳米疗法,该疗法协同整合了 STING 激活、细胞焦亡诱导和钙离子回路重编程,以对抗骨转移。通过破坏免疫抑制微环境并解除肿瘤与神经的共生关系,LipoNCs@pGSDMB 实现了强大的抗肿瘤效果和有效的止痛作用。这项工作揭示了 VGCC 在调节肿瘤与神经相互作用中此前未被充分重视的作用,将其定位为神经支配肿瘤中的可操作靶点。这项工作不仅为精准神经免疫疗法奠定了机制基础,还强调了利用临床可用的 VGCC 靶向药物来增强免疫反应和缓解癌症相关疼痛的转化潜力。
参考资料:
https://www.science.org/doi/10.1126/sciadv.ady1292#tab-contributors(转化医学网360zhyx.com)
【关于投稿】
转化医学网(360zhyx.com)是转化医学核心门户,旨在推动基础研究、临床诊疗和产业的发展,核心内容涵盖组学、检验、免疫、肿瘤、心血管、糖尿病等。如您有最新的研究内容发表,欢迎联系我们进行免费报道(公众号菜单栏-在线客服联系),我们的理念:内容创造价值,转化铸就未来!
转化医学网(360zhyx.com)发布的文章旨在介绍前沿医学研究进展,不能作为治疗方案使用;如需获得健康指导,请至正规医院就诊。
责任声明:本稿件如有错误之处,敬请联系转化医学网客服进行修改事宜!
微信号:zhuanhuayixue
腾讯登录
还没有人评论,赶快抢个沙发