新型调节因子! 武汉大学中南医院:癌症精准治疗新见解
| 导读 | 膀胱癌(BLCA)仍是一种致死率极高的泌尿生殖系统恶性肿瘤,其肿瘤生物学特性复杂,治疗策略有限。 |
近日,武汉大学中南医院研究团队在期刊《Advanced Science》上发表了研究论文,题为“YKT6 Promotes Bladder Cancer Progression by Stabilizing β-catenin Through USP7-Mediated Deubiquitination”,本研究探讨了 SNARE 蛋白 YKT6 在膀胱癌(BLCA)进展中的致癌作用及其分子机制。转录组学和功能分析表明,YKT6 能促进 BLCA 细胞在体外和体内的增殖、迁移和转移。从机制上讲,YKT6 通过一种新的机制激活 Wnt/β-连环蛋白信号通路,该机制涉及 USP7 介导的β-连环蛋白去泛素化。YKT6 通过招募 USP7 抑制β-连环蛋白的蛋白酶体降解,从而稳定该蛋白并促进其核内积累。这种稳定作用导致致癌靶基因表达增加,并诱导上皮间质转化(EMT)。药理学干预表明,抑制 Wnt 信号可逆转 YKT6 驱动的恶性效应,而激活该通路则可恢复 YKT6 沉默细胞的肿瘤进展。USP7 敲低消除了 YKT6 介导的β-连环蛋白稳定作用,证实了它们的功能相互依赖性。从临床角度来看,YKT6/USP7/β-连环蛋白轴与不良预后密切相关,这为该轴的可成药性提供了概念验证。本研究结果揭示了 YKT6 通过依赖 USP7 的去泛素化作用成为 Wnt 信号通路的新调节因子,为膀胱癌的精准治疗提供了新的见解。

https://advanced.onlinelibrary.wiley.com/doi/10.1002/advs.202507166
膀胱癌:现状、特征与治疗研究的重要性
01
膀胱癌(BLCA)是一种普遍且高度恶性的肿瘤,在泌尿生殖系统肿瘤中属于最常见的恶性肿瘤之一。近期的流行病学数据显示,膀胱癌在全球范围内位居第九大常见癌症,每年新增病例约 61.3 万例,死亡病例约 22 万例。约 75% 的新诊断膀胱癌为非肌层浸润性膀胱癌(NMIBC),其余则归为肌层浸润性膀胱癌(MIBC)。约 69% 的 NMIBC 具有低级别特征,而大多数肌层浸润性或转移性肿瘤则表现出高级别特征。NMIBC 的 5 年复发率在 31% 至 78% 之间,其进展率从低风险组的 0.93% 到极高风险组的 40% 不等。接受治疗的 MIBC 患者的 5 年总生存率约为 48%,但对于转移性患者,这一比率则降至约 5.5%。揭示膀胱癌恶性进展的分子机制并探索更有效的治疗策略至关重要。
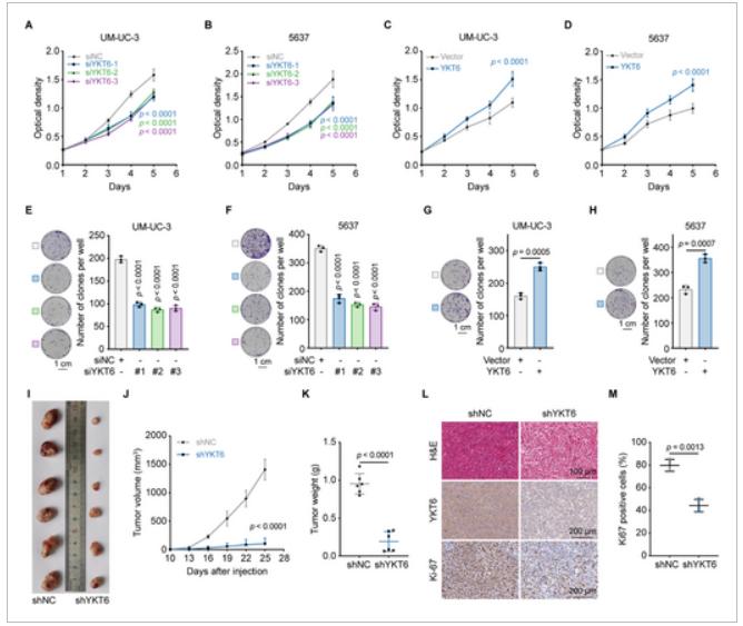
YKT6 敲低抑制膀胱癌细胞体内外增殖
02
为了评估 YKT6 在膀胱癌(BLCA)进展中的作用,研究人员首先通过 qRT-PCR 和免疫印迹法检测了 siRNA、shRNA 和过表达质粒在改变 YKT6 表达方面的效率。MTT 检测表明,YKT6 沉默显著抑制了 UM-UC-3 和 5637 细胞的增殖能力,而 YKT6 过表达则增强了这种能力。在集落形成实验中也得到了一致的结果。为了进行体内验证,研究人员通过慢病毒转染在 UM-UC-3 细胞中建立了稳定的 YKT6 敲低细胞系。将 shNC 和 shYKT6 转染的细胞皮下植入裸鼠体内,结果显示 shYKT6 组的肿瘤体积和重量明显小于对照组。免疫组化(IHC)分析进一步证实了 shYKT6 组中 Ki-67 阳性细胞减少,这凸显了 YKT6 在膀胱癌生长调控中的作用。

YKT6 敲低在体外和体内均抑制膀胱癌细胞增殖
结论
03
总之,YKT6 在膀胱癌进展中上调,并与不良预后密切相关。从机制上讲,YKT6 可通过 USP7 介导的去泛素化稳定β-连环蛋白,从而增强 Wnt/β-连环蛋白信号通路的活性。综上所述,本研究阐明了 YKT6/USP7/β-连环蛋白轴的作用,并提供了基础见解,可能为未来膀胱癌的精准治疗策略提供信息。(转化医学网360zhyx.com)
参考资料:
https://advanced.onlinelibrary.wiley.com/doi/10.1002/advs.202507166
【关于投稿】
转化医学网(360zhyx.com)是转化医学核心门户,旨在推动基础研究、临床诊疗和产业的发展,核心内容涵盖组学、检验、免疫、肿瘤、心血管、糖尿病等。如您有最新的研究内容发表,欢迎联系我们进行免费报道(公众号菜单栏-在线客服联系),我们的理念:内容创造价值,转化铸就未来!
转化医学网(360zhyx.com)发布的文章旨在介绍前沿医学研究进展,不能作为治疗方案使用;如需获得健康指导,请至正规医院就诊。
责任声明:本稿件如有错误之处,敬请联系转化医学网客服进行修改事宜!
微信号:zhuanhuayixue
腾讯登录
还没有人评论,赶快抢个沙发