首次揭示!南方医科大学/中山大学合作发文:可提高胰腺癌患者生存率的治疗新策略
| 导读 | 神经周围浸润(PNI)是胰腺导管腺癌(PDAC)的一个显著特征,其发生率高,并显著导致 PDAC 的致命性和不良预后。尽管其普遍存在且与不良预后相关,但 PDAC 中 PNI 的分子机制仍不清楚。 |
3月22日,南方医科大学/中山大学研究人员合作共同在期刊《Journal of Experimental & Clinical Cancer Research》上发表了研究论文,题为“N4-acetylcytidine modification of ITGB5 mRNA mediated by NAT10 promotes perineural invasion in pancreatic ductal adenocarcinoma”,本研究中,体外和体内模型表明,肿瘤细胞中NAT10的过表达会增强 PDAC 中的 PNI。ITGB5 mRNA 编码区的这种 ac4C 修饰促进了其稳定性,进而激活了 ITGB5-pFAK-pSrc 通路。基于 CRISPR 的分析进一步证实了 NAT10 介导的 ac4C 修饰在调节 ITGB5 表达中的关键作用。将靶向 NAT10 和FAK的小分子抑制剂联合使用,在体内显著减轻了 PNI。本研究结果揭示了在胰腺神经浸润中一种此前未被认识的由 ac4C 介导的表观遗传机制,并提出了一种新的治疗策略,有望提高胰腺导管腺癌患者的生存率。

https://jeccr.biomedcentral.com/articles/10.1186/s13046-025-03362-2
研究背景
01
胰腺导管腺癌(PDAC)是一种高度侵袭性的癌症,其 5 年总生存率(OS)仅为 13%,情况极为严峻。超过 50% 的患者在确诊时已处于局部晚期且无法手术切除,这主要是由于肿瘤对周围组织的局部侵犯所致。在胰腺导管腺癌中,几乎 100% 的病例都存在神经周围浸润(PNI),这是一种独特的肿瘤扩散和转移方式,最终导致不良的临床结局。尽管 PNI 在胰腺导管腺癌中极为常见且重要,但与肿瘤微环境的其他方面相比,其机制仍鲜为人知。癌症神经科学领域的最新进展突显了肿瘤与神经之间的相互作用在重塑肿瘤微环境和促进肿瘤进展方面所起的关键且复杂的作用,为理解肿瘤生物学和开发潜在的治疗干预措施提供了新的视角。在实体瘤中,胰腺导管腺癌的神经周围浸润发生率极高,使其成为研究肿瘤细胞对局部神经支配重塑的理想模型。了解胰腺神经浸润(PNI)的调控机制对于制定有效的治疗策略以及提高胰腺导管腺癌(PDAC)患者的生存率至关重要。
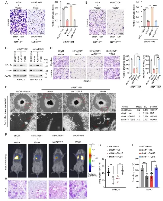
NAT10 介导的 ITGB5 的 ac4C 修饰促进胰腺导管腺癌细胞的迁移、侵袭和转移
02
研究人员研究了 NAT10 介导的乙酰化在 PDAC 细胞中的作用。迁移实验表明,NAT10WT 的过表达,而非 NAT10G641E,增强了 PANC-1 和 MIA PaCa-1 细胞的迁移和侵袭能力。研究人员试图探究 NAT10-ITGB5 轴在 PDAC 细胞中的功能。为了检测 PNI 能力,研究人员使用了共培养系统。为了进一步探究 NAT10-ac4C-ITGB5 轴是否能在体内促进肿瘤转移,研究人员构建了荧光素酶-PANC-1 细胞,并将标记细胞注入严重联合免疫缺陷(SCID)小鼠的尾静脉。为了评估雪旺细胞分泌的可溶性L1CAM在NAT10-KD肿瘤细胞中的作用,研究人员收集了人sNF96.2雪旺细胞(SCM)的培养基,并将其与PDAC细胞共培养。研究人员观察到用SCM处理的PDAC细胞中p-FAK水平升高。这些发现表明NAT10通过ITGB5表达促进PDAC的迁移、侵袭和转移,凸显了NAT10-ITGB5-粘着斑轴在PDAC进展中的重要性。

NAT10 介导的 ac4C 修饰通过 ITGB5 促进迁移、侵袭和转移
研究结论
03
总之,研究人员证明了肿瘤细胞中的 NAT10 通过介导 mRNA 的 ac4C 修饰来驱动胰腺导管腺癌(PDAC)中的神经周围浸润(PNI)进展。本研究深化了对 NAT10 在 PNI 中作用的理解,并证实了一个此前未被重视的治疗靶点在改善 PDAC 转移方面的潜力。(转化医学网360zhyx.com)
【关于投稿】
转化医学网(360zhyx.com)是转化医学核心门户,旨在推动基础研究、临床诊疗和产业的发展,核心内容涵盖组学、检验、免疫、肿瘤、心血管、糖尿病等。如您有最新的研究内容发表,欢迎联系我们进行免费报道(公众号菜单栏-在线客服联系),我们的理念:内容创造价值,转化铸就未来!
转化医学网(360zhyx.com)发布的文章旨在介绍前沿医学研究进展,不能作为治疗方案使用;如需获得健康指导,请至正规医院就诊。
责任声明:本稿件如有错误之处,敬请联系转化医学网客服进行修改事宜!
微信号:zhuanhuayixue
腾讯登录
还没有人评论,赶快抢个沙发