经典方向新进展 | 揭示胶质瘤蛋白稳态与核苷酸代谢耦联调控新机制
| 导读 | 同时,未来仍需在更大规模临床队列与更贴近真实的治疗场景以优化PSMD14靶向策略的临床转化路径。 |
2026年1月1日出版的《Theranostics》杂志(中科院1区Top,IF=13.3)在线发表了山东大学齐鲁医院神经外科陈安静研究员团队的研究论文“Coupling proteostasis and de novo purine biosynthesis of PSMD14 fuels glioblastoma progression and chemoresistance”,系统揭示了去泛素化酶PSMD14以其不依赖于蛋白酶体的新功能驱动胶质母细胞瘤进展并增强替莫唑胺耐受。

研究背景
01
胶质母细胞瘤(GBM)具有快速增殖、强侵袭与治疗抵抗等特征,替莫唑胺(TMZ)仍是标准治疗基石之一,但耐药普遍存在。胶质母细胞瘤(GBM)蛋白质稳态失衡,同时普遍存在蛋白质稳态失衡与代谢重编程等关键生物学特征,而蛋白稳态与代谢重编程的协同作用尚未充分阐明。本研究从临床样本与数据库证据出发,结合原位颅内模型,发现去泛素化酶PSMD14在GBM中显著升高并与患者的不良预后相关,可作为胶质瘤治疗新靶点。
机制解析
02
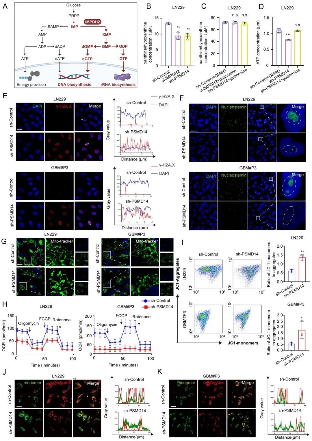
研究发现,PSMD14在GBM组织中表达显著升高,且与患者不良预后相关。机制上,PSMD14通过特异性去除嘌呤合成限速酶IMPDH2的K48链接泛素化修饰,维持其蛋白稳定性,保障细胞内GTP的持续供应,进而促进核苷酸从头合成与线粒体能量代谢,最终驱动肿瘤进展并诱导化疗耐药。PSMD14介导的这一调控轴在功能上实现了蛋白稳态与核苷酸代谢的耦联,靶向PSMD14有望实现对GBM生存依赖的双重打击。进一步,PSMD14抑制剂硫藤黄素能够干扰上述代谢通路,抑制肿瘤生长并延长生存期,与替莫唑胺TMZ协同发挥抗肿瘤效应,为同时靶向肿瘤的蛋白质稳态与核苷酸代谢提供了新策略。

临床意义与未来展望
03
提出PSMD14-IMPDH2轴作为GBM代谢适应与化疗耐受的关键枢纽,为GBM联合治疗提供了明确的机制依据与药物切入点。同时,未来仍需在更大规模临床队列与更贴近真实的治疗场景以优化PSMD14靶向策略的临床转化路径。

模式图揭示胶质母细胞瘤GBM中PSMD14稳定IMPDH2维持核苷酸代谢与线粒体质量,硫藤黄素靶向PSMD14与替莫唑胺呈协同抗肿瘤效应
参考资料:
https://www.thno.org/v16p3599.htm(转化医学网360zhyx.com)
【关于投稿】
转化医学网(360zhyx.com)是转化医学核心门户,旨在推动基础研究、临床诊疗和产业的发展,核心内容涵盖组学、检验、免疫、肿瘤、心血管、糖尿病等。如您有最新的研究内容发表,欢迎联系我们进行免费报道(公众号菜单栏-在线客服联系),我们的理念:内容创造价值,转化铸就未来!
转化医学网(360zhyx.com)发布的文章旨在介绍前沿医学研究进展,不能作为治疗方案使用;如需获得健康指导,请至正规医院就诊。
责任声明:本稿件如有错误之处,敬请联系转化医学网客服进行修改事宜!
微信号:zhuanhuayixue
腾讯登录
还没有人评论,赶快抢个沙发